
Los implantes dentales son de titanio y actúan como la raíz de un diente
Los
implantes dentales son raíces con forma de tornillo de titanio que
se insertan en el hueso maxilar para reemplazar la raíz de un diente
que se ha perdido. Al producirse el fenómeno de oseointegración, el
implante es aceptado por el hueso uniéndose firmemente a él, lo que
permite instalar un diente y aplicar cargas sobre este, actuando como
la raíz de un diente.
La pérdida de una o más piezas dentales se puede dar a cualquier edad y son causa de caries, golpe fuerte o alguna caída. Según un artículo publicado por el Colegio de Cirujano Dentistas de Chile A.G. más de 56 mil personas mayores se realizan implantes anualmente en el país. Esto trae como consecuencia una baja autoestima, problemas al momento de alimentarse y otras innumerables limitaciones.
Así mismo, la Organización Mundial de la Salud, OMS, afirma que la periodontitis (enfermedad de las encías) es una condición que, si no se trata a tiempo de forma adecuada, trae como consecuencia la pérdida de piezas dentales, está dentro de las principales enfermedades que afectan a la población mundial. En esa línea, han tomado fuerza los últimos años como una solución definitiva para resolver este incómodo problema.
Estos son instalados en el hueso maxilar por especialistas, bajo estrictas normas y estándares de calidad, a través de una cirugía simple, pero muy delicada y precisa. Hoy en día, con la ayuda de imágenes 3D del hueso maxilar, es posible planificar digitalmente este tipo de cirugía, lo que las hace menos invasivas y con postoperatorios menos complejos que hace unos años. Incluso se pueden instalar implantes con guías quirúrgicas fabricadas con base en la información digital en impresoras 3D, qué altísima precisión, permitiendo la instalación de varios implantes en pocos minutos, sin la necesidad de levantar la encía. Estos avances permiten que, con un flujo diagnóstico y planificación digital, tratamientos más simples, rápidos, menos invasivos y menos costosos. Por lo tanto, el éxito de una terapia de implantes, depende en gran parte de la capacidad técnica del cirujano especialista y también de la disponibilidad tecnológica de la clínica.
Para explicar mejor, normalmente existen tres partes en cada uno de los implantes:
Luego de un tiempo, los implantes realizados se fusionan al hueso, lo que da estabilidad a las coronas implantadas y siendo un tratamiento mucho más beneficioso que los llamados “puentes’’, ya que no necesitan sujetarlos a otros dientes.

Video del Dr. David Rosenberg Messina
Los implantes dentales se pueden agrupar en 3 grupos, según explica la American Academy of Implant Dentistry (AAID) y se eligen dependiendo del diagnóstico y necesidades específicas de cada paciente:

Los candidatos ideales son aquellas personas que carezcan de una o más piezas dentales
Los candidatos ideales son aquellas personas que hayan perdido una o más piezas dentales. Según explican los especialistas de Mayo Clinic los candidatos ideales para realizarse una cirugía de implantes dentales son aquellas personas que les falten una o más piezas dentales. Pacientes que la mandíbula ya llegó a su crecimiento total, tener huesos adecuados para el implante, tener tejidos saludables, no padecer enfermedades que puedan retrasar la cicatrización y sanación de los huesos, personas no fumadoras y que estén comprometidas con el tratamiento durante varias semanas.

Es aconsejable solicitar experiencias de otros pacientes para conocer la tasa de éxito
Para elegir correctamente al cirujano odontólogo es importante revisar y tener en cuenta varios factores. Por una parte, el paciente debe cerciorarse que el profesional cuente con el título profesional de Odontología con especialidad en cirugía, periodoncia o implantología bucomaxilofacial. . Asimismo, el experto debe estar certificado y avalado
como especialista en el registro nacional de prestadores individuales por la Superintendencia de Salud. Basta con conocer el nombre o RUT del profesional para acceder a esta información. También pueden estar certificado por la Corporación Nacional Autónoma de Certificación de Especialidades Odontológicas (CONACEO) y por la Sociedad de Implantología de Chile.

Foto de la Dra.Nury Berrios
El Dr. David Rosenberg Messina explica que durante la primera consulta el odontólogo evaluará detalladamente la boca del paciente, las encías y tejidos que rodea la zona de la pérdida de las piezas dentales. Se tomarán registros e imágenes para poder llegar a un adecuado diagnóstico. Es importante luego tomarse el tiempo en trasmitirle al profesional sus expectativas del tratamiento, ya que con esa información este podrá ofrecerle las diferentes alternativas disponibles. Una vez que se han discutido las ventajas y desventajas de cada tratamiento, se realiza la planificación y presupuesto. Así mismo, el especialista detallará cómo se realiza el procedimiento, el tipo de anestesia a utilizar y cómo debe prepararse el paciente para llevar a cabo la cirugía.
Además, según los expertos de Mayo Clinic, el especialista le pedirá varios exámenes para preparar adecuadamente al paciente para el proceso:

Video de Clínica Dental Art
Esta intervención consta de varias etapas y que requiere de tiempos de curación entre cada tratamiento.
Los principales pasos son los siguientes:
Entre cada una de estas etapas se debe esperar cierto tiempo, dependiendo del protocolo de tratamiento que se ha elegido. Por ejemplo en algunos casos el paciente requerirá de un injerto óseo antes de instalar el implante dental, en el caso de presentar una deficiente calidad y/o cantidad de hueso.
Luego de ello, durante la cirugía de implante dental, el odontólogo cirujano realiza una incisión en la encía para acceder al hueso, realizando varias preparaciones de lechos donde se instalarán los implantes (con forma de tornillo). Una vez instalado en contacto firme y estable con el hueso, comienza el período llamado de oseointegración, en el que el hueso acepta el implante para unirse íntimamente a este, menciona el Dr. David Rosenberg.Pasada esta etapa, el paciente requerirá de una segunda intervención, la cual suele ser ambulatoria con anestesia local para poner el pilar de rehabilitación que se fija firmemente al implante dental. Como tercer y último paso se deben esperar unas dos semanas para dejar que las encías cicatricen para implantar la corona o diente artificial. Este último puede ser removible o fijo. El segundo se atornilla y se deja fijo al pilar.

Los pacientes recuperan su confianza y mejoran diversos procesos biológicos
Los pacientes recuperan y mejoran diversos procesos biológicos, sobre todo la autoestima y actividades sociales con confianza.
Este tratamiento trae innumerables beneficios y ventajas para el paciente dentro de las que destacan:
Mejora los procesos biológicos de la masticación, ya que el paciente podrá comer con normalidad y de forma adecuada.

Antes y después, Clínica Dental TopDent
La recuperación y recomendaciones del postoperatorio variarán según sea el tipo de tratamiento que se realizó y la condición de cada paciente, pero hay ciertos consejos y cuidados que todos debieran tener en cuenta para tener una pronta y exitosa recuperación, entre los que podemos destacar:

Para evitar posibles complicaciones es importante seguir las recomendaciones del odontólogo
Para evitar posibles complicaciones es importante seguir las recomendaciones del odontólogo. Dentro de las principales complicaciones que puede tener esta cirugía podemos detallar:

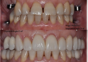
Antes y después, Dr. Hugo Pereira
Según los especialistas de la Sociedad de Implantología Oral de Chile, los principales resultados de los implantes dentales son:

Video de Clínica de Malposiciones Dentales
La mayoría de los odontólogos coinciden que para evitar la pérdida de piezas dentales y cuidar los nuevos implantes el paciente debe llevar una correcta higiene bucal, utilizando cepillos interdentales e hilo dental, para ayudar a limpiar cada rincón o grieta presente entre los dientes. Por otro lado, es fundamental realizar visitas periódicas al odontólogo para realizar una limpieza dental profunda y por último se deben evitar los hábitos que potencian una mala higiene bucal como el tabaquismo
y malos hábitos alimenticios que deriven en un síndrome metabólico o diabetes. Una vida sana, activa y buena alimentación son claves para mantener la salud oral.
Existen diversos tipos y niveles de sedación. Según la evaluación de un especialista, se determinará si es necesaria la anestesia general en pabellón o solamente anestesia local, que es lo más frecuente, ya que con los avances de la tecnología digital, las intervenciones son muy poco invasivas, controladas y cortas en tiempo. Explica el Dr. David Rosenberg.
Sin embargo, existe un muy bajo porcentaje de implantes (entre un 2 y 5%) que pueden presentar problemas, principalmente relacionados a causas locales o bien en paciente que fuman mucho.
Colegio de Cirujano Dentistas de Chile. (2019). LA ODONTOLOGÍA DEL FUTURO LLEGA DE LA MANO DE LA REVOLUCIÓN DE LOS IMPLANTES DENTALES. [online] Available at: http://www.colegiodentistas.cl... [Accessed 9 May 2019].
Organización Mundial de la Salud (ONU). (2019). Salud bucodental. [online] Available at: https://www.who.int/es/news-ro... [Accessed 9 May 2019].
Sociedad de Implantología Oral de Chile. (2019).Asociados. [online] Available at: http://sioch.cl/web/sioch/asoc... [Accessed 9 May 2019].